Ihr Kindernephrologe in Dachau für Nieren- und Harnwegserkrankungen
In unserer spezialisierten Kindernephrologie betreuen wir Kinder und Jugendliche mit Erkrankungen der Nieren und Harnwege. Als Kindernephrologe in Dachau bieten wir eine fundierte Diagnostik sowie eine individuelle und langfristige Begleitung – abgestimmt auf die Bedürfnisse Ihres Kindes und Ihrer Familie.
Unsere Kindernephrologen behandelt unter anderem angeborene und erworbene Nierenerkrankungen, wiederkehrende Harnwegsinfekte sowie funktionelle Blasenstörungen im Kindes- und Jugendalter. Dabei arbeiten wir eng mit den behandelnden Kinderärzten und weiteren Fachdisziplinen zusammen.
Als erfahrener Kindernephrologe legen wir großen Wert auf eine verständliche Aufklärung, ausreichend Zeit für Gespräche und eine vertrauensvolle Zusammenarbeit mit Eltern und Kindern.
Kindernephrologie – was ist das?
Die Kindernephrologie ist ein Spezialgebiet innerhalb der Kinderheilkunde und
beschäftigt sich mit sämtlichen Erkrankungen der Nieren und Blase. Auch hier stimmt
der Satz: Kinder sind keine kleinen Erwachsenen, denn: Manche dieser Krankheiten
sind im Kindesalter viel häufiger als bei Erwachsenen oder treten nur bei Kindern auf,
manche haben einen komplett anderen Verlauf als im Erwachsenenalter. Genau hier
setzt die spezialisierte kindernephrologische Betreuung an.
Was ist eine Kindernephrolog*in?
Eine Kindernephrolog*in ist eine Kinder- und Jugendärzt*in, die eine zusätzliche
Weiterbildung im Spezialgebiet Kindernephrologie absolviert hat. Sie/er ist Ihr Spezialist für Krankheiten der Niere und der Blase vom Säuglingsalter bis zum jungen
Erwachsenen. Die Erkrankungen umfassen Fehlbildungen der Niere und des
Harntrakt, Einnässen im Kindesalter sowie autoimmune Erkrankungen der Niere, nephrotisches Syndrom, nephrotisches Syndrom, hoher Blutdruck und eine eingeschränkte Nierenfunktion (Niereninsuffizienz).
Unsere kindernephrologische Betreuung in Dachau
Dr. med. Marcus Benz
Kinder- und Jugendarzt
Kindernephrologe
Hypertensiologe DHL®
fachgebundene genetische Beratung
Kontinenztrainer (nach KGKS)
Trainer für Familienschulung nephrotisches Syndrom
Dr. med. Sabine Ponsel
Kinder- und Jugendärztin
Kindernephrologin
Dr. med. Birgit Benz
Kinder- und Jugendärztin
Neonatologin
Dr. med. Jutta Ahrens
Kinder- und Jugendärztin
Pädiatrische Hämatologin und Onkologin
Solange Kinder klein sind, gib ihnen Wurzeln,
wenn sie älter geworden sind, gib ihnen Flügel.
Zitat aus Indien
Leistungen unserer Kindernephrologie in Dachau
Urinuntersuchung
(inklusive Phasenkontrastmikroskopie des Urins)
Schon im Mittelalter war die Urinschau ein wertvolles Werkzeug Krankheiten zu erkennen. Auch heute können allein aus dem Betrachten des Urins wichtige Erkenntnisse gewonnen werden. Ergänzt wird dies durch moderne Methoden wie die Phasenkontrastmikroskopie.

Fachgebundene genetische Beratung
Am 1. Februar 2010 ist in Deutschland das Gesetz über genetische Untersuchungen bei Menschen (Gendiagnostikgesetz – GenDG) in Kraft getreten. Durch die Qualifikation der fachgebundenen genetischen Beratung können diagnostische und prädiktive genetische Untersuchungen vorgenommen und eingeordnet werden.

Pränatale kindernephrologische Beratung
Wird während der Ultraschalluntersuchungen in der Schwangerschaft eine Fehlbildung der Nieren, der ableitenden Harnwege oder eine andere Nierenerkrankung festgestellt, sind werdende Eltern oft verunsichert und besorgt. In solchen Situationen ist die fachliche Einordnung der Befunde durch eine eine Kinder-Nephrolog*in besonders wertvoll. Sie/er erklärt die Ergebnisse verständlich, bespricht mögliche Behandlungsschritte und unterstützt Eltern einfühlsam dabei, die Situation einzuordnen und die nächsten Schritte für die bestmögliche Betreuung ihres Kindes zu planen.

Blutuntersuchung
In der Kinder-Nephrologie sind Blutuntersuchungen zentral für Diagnostik und Verlaufskontrolle. Wichtige Parameter wie Blutgase (Säure-Basen-Haushalt), Kreatinin (Nierenfunktionsparameter) und Elektrolyte (Körpersalze) werden in unserem Praxislabor direkt durchgeführt und ausgewertet. Weitere spezialisierte Tests, inklusive molekulargenetischer Untersuchungen, erfolgen in Zusammenarbeit mit kooperierenden Laboren. So gewährleisten wir schnelle, verlässliche Ergebnisse für eine fundierte Betreuung.

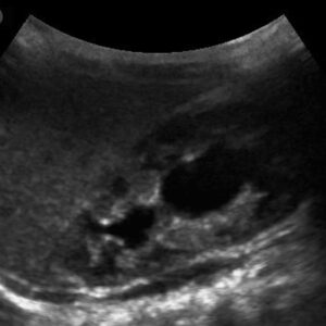
Sonographie (inkl. Duplexsonsographie)
Die Sonographie ist eine der wichtigsten Untersuchungsmethoden in der Kinder-Nephrologie. Sie wird vor allem bei angeborenen Fehlbildungen der Nieren und ableitenden Harnwege, Nierensteinen, Nierenzysten eingesetzt. Mit der farbkodierten Duplexsonographie können zudem die arteriellen und venösen Gefäße der Nieren genau beurteilt werden. Für unsere Untersuchungen nutzen wir modernste Geräte, um präzise Bilder zu erhalten und eine bestmögliche Diagnostik zu gewährleisten.

24 Stunden-Langzeitblutdruckmessung
Die 24-Stunden-Langzeitblutdruckmessung gilt als Goldstandard in der Diagnostik der arteriellen Hypertonie. Sie ermöglicht eine zuverlässige Beurteilung, ob der Blutdruck tatsächlich erhöht ist oder ob vorübergehende Faktoren, wie Aufregung in der Praxis, den Wert beeinflussen. Auch ein ausschließlich nachts erhöhter Blutdruck kann so erkannt werden. Für die Untersuchung stehen speziell auf das Alter und die Armgröße Ihres Kindes angepasste Manschetten zur Verfügung, sodass die Messung sicher, komfortabel und genau durchgeführt werden kann.

Pharmakokinetische Untersuchungen
Jeder Körper verarbeitet Medikamente auf individuelle Weise. Ein optimaler Blutspiegel sorgt für die gewünschte Wirkung, während ein zu hoher Spiegel unerwünschte Nebenwirkungen verursachen kann – besonders bei Medikamenten, die bereits in etwas höherer Dosis toxisch wirken. In der Kinder-Nephrologie sind pharmakokinetische Untersuchungen daher besonders wichtig, zum Beispiel bei der Gabe von Immunsuppressiva, die das Immunsystem unterdrücken. Durch die Kontrolle der Medikamentenspiegel können wir die Behandlung sicher, wirksam und individuell auf Ihr Kind abstimmen.

Uroflowmetrie mit Beckenboden-EMG
Funktionelle Blasenentleerungsstörungen sind bei Kindern eine häufige Ursache für Harnwegsinfektionen oder für Einnässen am Tag. Um die Ursache genau einzuordnen und eine gezielte Therapie zu planen, ist die Messung des Harnstrahls während der Blasenentleerung besonders wichtig. Bei uns erfolgt die Untersuchung modern und kindgerecht: Während der Blasenentleerung werden die Messwerte kabellos auf den Computer übertragen, dort analysiert und grafisch aufbereitet. So können wir das Entleerungsverhalten der Blase präzise beurteilen, individuelle Therapieempfehlungen ableiten und die Behandlung auf die Bedürfnisse Ihres Kindes abstimmen.

Ultraschallscreening der Nieren und ableitenden Harnwege bei Neugeborenen
Etwa jedes 100. Neugeborene ist von einer angeborenen Fehlbildung der Nieren oder der ableitenden Harnwege betroffen. Eine frühzeitige Erkennung ist entscheidend, um die Nierenfunktion bestmöglich zu erhalten. Die Untersuchung sollte idealerweise innerhalb der ersten vier Lebensmonate erfolgen, frühestens jedoch am 3. bis 4. Lebenstag, da direkt nach der Geburt die zirkulierende Flüssigkeit im Körper noch zu gering ist, um verlässliche Ergebnisse zu erzielen.

Nierenbiopsie
Wenn mittels Blut- und Urinuntersuchungen sowie Sonographie etc. die Ursache einer Nierenerkrankung nicht herausgefunden werden kann, so ist bisweilen eine Nierenbiopsie erforderlich. Dann können die Nierenkörperchen (Glomeruli) direkt untersucht werden. Eine Nierenbiopsie erfolgt in Vollnarkose mit Hilfe der Sonographie. Dr. Benz führt diese im Rahmen konsiliarärztlicher Tätigkeit in der Kinderklinik Dritter Orden München durch.

Familienschulungen zu kindernephrologischen Erkrankungen
Eine chronische Erkrankung stellt für das betroffene Kind oder den Jugendlichen und die ganze Familie eine große Herausforderung dar. Eine wertvolle Unterstützung bieten daher Familienschulungen: In strukturierten Programmen vermittelt ein multidisziplinäres Team – bestehend aus Ärztinnen, Psychologinnen, Diätassistent*innen und weiteren Fachkräften – Wissen über die Erkrankung und praktische Hilfen für den Alltag. Im Mittelpunkt steht dabei auch der Austausch mit anderen betroffenen Familien.
Die Entwicklung solcher Schulungen zu kindernephrologischen Erkrankungen ist eine besondere Herzensangelegenheit von Dr. Benz. Bisher existieren Schulungen zu nephrotischem Syndrom, chronischer Niereninsuffizienz, Cystinose, nach Nierentransplantation sowie eine Kontinenzschulung.

Krankheitsbilder der Kindernephrologie
Hier finden Sie mehr Informationen zu einigen Krankheitsbildern:
◼︎ Angeborene Fehlbildung von Nieren, Harnleiter u. Blase
◼︎ Bluthochdruck im Kindes- und Jugendalter
◼︎ Einnässen am Tag
◼︎ Nächtliches Einnässen
◼︎ Harnwegsinfektionen
◼︎ Nephritisches Syndrom
◼︎ Nephrotisches Syndrom
◼︎ Chronische Niereninsuffizienz
◼︎ Steine oder Verkalkungen in der Niere
◼︎ Systemerkrankungen mit Nierenbeteiligung
◼︎ Tubulopathien
◼︎ Zystennieren
Ernährungsberatung bei kindernephrologischen Erkrankungen
Eine individuell angepasste Ernährung spielt bei Nierenerkrankungen im Kindes- und Jugendalter eine zentrale Rolle und ist ein wichtiger Bestandteil der kindernephrologischen Betreuung. Ob Tubulopathien, zystische Nierenerkrankungen, chronische Nierenerkrankungen, nephrotisches Syndrom oder Nierensteine – eine gezielte Ernährungsberatung kann die Nierenfunktion unterstützen, Wachstum und Entwicklung fördern und helfen, Komplikationen zu vermeiden.
Die Ernährungsberatung erfolgt direkt in unserer Praxis und ist ein wertvolles ergänzendes Angebot zur medizinischen Behandlung. Kinder und Familien erhalten konkrete, alltagstaugliche Empfehlungen zu Flüssigkeitszufuhr, Eiweißmenge und Mineralstoffen. Ziel ist es, die Nieren langfristig zu schützen, die Lebensqualität zu erhalten und ein gesundes Essverhalten nachhaltig zu fördern.
Downloads für die kindernephrologische Behandlung
Hier finden Sie wichtige Unterlagen zur Vorbereitung und Begleitung der kindernephrologischen Behandlung Ihres Kindes.






